Erläuterung: Benetzung
 
Grad0
Grad1
Grad2
Grad3
Grad4
Benetzung, Grad 0:
Die komplette Oberfläche der Kontaktlinse ist hydrophil, d.h. es sind keine „trockenen Stellen“ sichtbar. Die Oberfläche reflektiert optisch einwandfrei.
Benetzung, Grad 1:
Die Oberfläche zeigt sich zunächst hydrophil. Nach wenigen Sekunden entstehen erste „trockene Stellen“.
Bei formstabilen KL kann man häufig ein so genanntes „Hazing-Phänomen“ beobachten. Hierbei benetzt die Oberfläche der Kontaktlinsen meist von unten beginnend nicht mehr.
Die Träger klagen häufig bei Hazing über ein Halosehen (Lichtschleier um Punktlichtquellen). Nach erfolgtem Lidschlag ist dies nicht mehr zu beobachten.
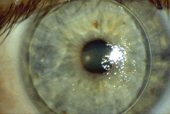
Benetzung, Grad 2:
Es zeigen sich selbst direkt nach dem Lidschlag kleine nicht benetzbare hydrophobe Punkte
Diese lassen sich durch die Routinepflege entfernen und entstehen bei formstabilen KL meist durch Lipide des Tränenfilms. (Vgl. Bild "Lipidtröpfchen auf der Linsenvorderfläche" [162], Fachbuch: Klassifikation von Spaltlampenbefunden, W. Sickenberger).
Benetzung, Grad 3:

Es zeigen sich selbst direkt nach dem Lidschlag größere nicht benetzbare hydrophobe Areale. (Vgl. Bild "Hydrophobe Areale durch Kajalstiftrückstände" [167], Fachbuch: Klassifikation von Spaltlampenbefunden, W. Sickenberger)

Benetzung, Grad 4:
Die Linse benetzt über eine große Fläche nicht, selbst direkt nach dem Lidschlag wird der Tränenfilm keine geschlossene optisch klare Schicht über der KL ausbilden können. Häufig hängt dieses Erscheinungsbild mit stark verschmutzen Kontaktlinsen zusammen.
Manchmal ist dies auch bei stark verkratzten formstabilen Kontaktlinsen in Verbindung mit wässrigem Tränenfilm zu erkennen.
  Großaufnahmen und weitere Vergleichsabbildungen:

Grad0

Grad1

Grad2

Grad3

 

Grad4